1、先天性心疾患の疫学で正しいのはどれか。
- 現在先天性心疾患の成人患者数は、小児患者数より少ない。
- 母親の妊娠中の喫煙率は、児の先天性心疾患発現率には影響しない。
- 双胎児における先天性心疾患の確率は、一卵性と二卵性で変わりはない。
- 同胞内での先天性心疾患の再現率は、一般人口における発生頻度よりも高い。
- 先天性心疾患の親子間の発生頻度は、父親からの再発率が母親からよりも高い。
正解:d
2、学校心臓検診で二次以降の検診に抽出すべき不整脈はどれか。
- 房室解離
- 変行伝導
- 接合部調律
- 単形性上室期外収縮
- 単形性心室期外収縮
正解:e
3、心エコー検査で心腔内腫瘤が認められた。合併しうる異常はどれか。2つ選べ。
- 虹彩結節
- 血管線維腫
- 脳内石灰化
- カフェ・オ・レ斑
- 三叉神経領域血管腫
正解:b, c

4、医療において倫理的な問題に直面したときどのように対処すべきか、その指針となる医療倫理の四原則が広く知られている。この四原則に含まれないのはどれか。
- 善行
- 正義
- 合理性
- 無危害
- 自律尊重
正解:c
5、我が国の小児の脳死下臓器提供と法的脳死判定について、正しいのはどれか。2つ選べ。
- 生後12週未満の小児は法的脳死判定の対象から除外されている。
- 被虐待児が疑われる場合であっても脳死下臓器提供は可能である。
- 6歳未満の小児の法的脳死判定は6時間以上間隔を空けて2回の検査で判定する。
- 法的脳死判定は必要な知識と経験を持つ臓器移植に無関係な3人以上の医師が行う。
- 2010年7月施行の改正臓器移植法により15歳未満の小児の脳死下臓器提供が可能となった。
正解:a, e
6、心不全で用いられる薬物治療について誤っているものを選べ。
- イバブラジンは洞結節細胞に直接作用するため心収縮には影響を与えない。
- トルバプタンは腎集合管に存在するバソプレシンV2受容体の拮抗薬である。
- ナトリウム・グルコース共輸送体2(SGLT2)阻害薬による腎保護効果は期待できない。
- アンジオテンシン受容体/ネプリライシン阻害薬を使用する際にはACE阻害薬を中止する必要がある。
- ナトリウム・グルコース共輸送体2(SGLT2)阻害薬ではナトリウム利尿と浸透圧利尿の両方が促される。
正解:c
7、カテーテル治療におけるステント留置術について正しいのはどれか。2つ選べ。
- 成人の血管径まで拡大できる場合はステント留置術も選択肢となる。
- 乳児期早期の肺静脈狭窄に対するステント留置術での再狭窄は稀である。
- 本邦では,大血管狭窄に対する一次治療としてステント留置術が選択される。
- 本邦では,先天性心疾患を適応症として薬事法上承認されたステントは存在しない。
- 右心バイパス術後の肺動脈狭窄では形態や血流の不均等よりも局所の圧較差により適応を決定する。
正解:a, d
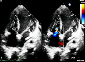
8、日齢5の新生児、チアノーゼを主訴に入院。心エコー図を示す。この疾患で認められる可能性のある所見のなかで誤っているのはどれか。2つ選べ。
- 類洞交通
- 心房間での右左短絡
- 動脈管での左右短絡
- 心房中隔と心室中隔の非整列
- 心室中隔流入路の短縮(スクーピング)
正解:d, e

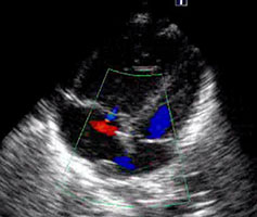
9、日齢15の新生児。呼吸障害と経皮的酸素飽和度の軽度低下を認め3日前から増悪した。心エコー図を示す。この症例で誤っているのはどれか。2つ選べ。
- 心拡大をきたす。
- 下大静脈が拡大する。
- 垂直静脈が下行している。
- 心房間交通は左右短絡である。
- 四腔断面像は新生児遷延性肺高血圧症と類似する。
正解:a, d

